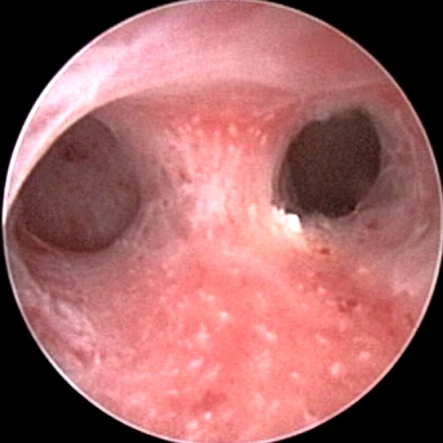
Septate Uterus(removing the septum)
A septate uterus is the most common genetic abnormality of the uterus. The main complication of the condition is the increased risk of miscarriage and recurrent miscarriage.
If a woman does not wish to have children, there is no need to have the condition treated. On its own, it does not pose a health risk. However, if a woman with a septate uterus would like to have children, then she may choose to have surgery. Surgery will significantly increase chances of a successful pregnancy.

A septate uterus is a deformity of the uterus, which happens during fetal development before birth. A membrane called the septum divides the inner portion of uterus, at its middle. This dividing septum is a fibrous and muscular band of tissue that can be thick or thin.

Women with a septate uterus are at increased risk of miscarriage. It’s not completely clear why this occurs. A common theory is that the septum cannot provide the proper support needed for a healthy pregnancy. The septum may also interfere with pregnancy in a variety of other ways. The condition can be treated with surgery which has shown to significantly improve outcomes.
How does a septate uterus affect pregnancy?
A septate uterus does not typically affect a woman’s ability to conceive, but it does significantly increase their risk of a miscarriage. Women with septate uteri can also go on to have recurrent miscarriages.
The rate of miscarriage in the general population is around 10 to 20 percentTrusted Source in women who know they are pregnant. The estimated rate of miscarriage in women with septate uteri is thought to be between 20 and 25 percent. Some research shows it may be as high as forty percentTrusted Source.
A septate uterus is believed to be the most common type of abnormal uterine development. It’s estimated that over half of developmental problems of the uterus involve a septumTrusted Source.
Women with a septate uterus have an increased risk of both miscarriage and recurrent miscarriage. Pregnancies that occur within a uterus with any type of abnormal development increase the risk for:
• premature labor
• breech positions
• C-section (cesarean) delivery
• bleeding complications after delivery
Treatment
A septate uterus can be treated with a surgery called a metroplasty. The procedure is now carried out with a hysteroscopy. The hysteroscopic procedure allows for treatment to be done within the uterus without the need for an outer abdominal incision.
During a hysteroscopic metroplasty, a lighted instrument is inserted into the vagina, through the cervix and into the uterus. Another instrument is also inserted to cut away and remove the septum.
This technique is minimally invasive, and usually takes about one hour. Women choosing to have a hysteroscopic metroplasty typically return home on the same day as the procedure.
After surgery, between fifty to eighty percent of women with a history of recurrent miscarriage will go on to have a healthy future pregnancy. In women who had been previously unable to get pregnant, up to twenty percentTrusted Source may be able to become pregnant after this procedure.